List of 29 Permanent Microscope Slides

From left to right, top to bottom, in order:
- 1. Pine Leaf, c.s. (Pine needle)
- 2. Coprimus Mushroom Set, c.s. (Mushroom)
- 3. Sunflower Stem, c.s. (Sunflower stem)
- 4. Young Root of Broad Bean, c.s. (Broad bean root)
- 5. Onion Epidermis, w.m. (Onion epidermis)
- 6. Tilia, Stem c.s. (Linden stem)
- 7. Pumpkin Stem, c.s. (Pumpkin stem)
- 8. Lillium Ovary, c.s. (Lily ovary)
- 9. Lillium Anther, c.s. (Lily anther)
- 10. Zea Stem, c.s. (Corn stem)
- 11. Nymphaea, of Aqustio Stem, c.s. (Water lily)
- 12. Hydrilla Verticillata, Leaf, w.m. (Hydrilla)
- 13. Pine Stem, c.s. (Pine stem)
- 14. Dog Esophagus, c.s. (Dog esophagus)
- 15. Human Blood, smear. (Human blood)
- 16. Dog Skeletal, Muscle, I.s.&c.s. (Dog skeletal muscle)
- 17. Pig Motor Nerve, w.m. (Pig motor neuron)
- 18. Rabbit Spinal Cord, c.s. (Rabbit spinal cord)
- 19. Rabbit Testis, sec. (Rabbit testis)
- 20. Dog Cardiac Muscle, I.s. (Dog cardiac muscle)
- 21. Dense Connective Tissue, sec. (Dense connective tissue)
- 22. Housebee Mouth Parts, w.m. (Honeybee?)
- 23. Honeybee Worker Leg-Composite, w.m. (Honeybee?)
- 24. Hydra, I.s. (Hydra)
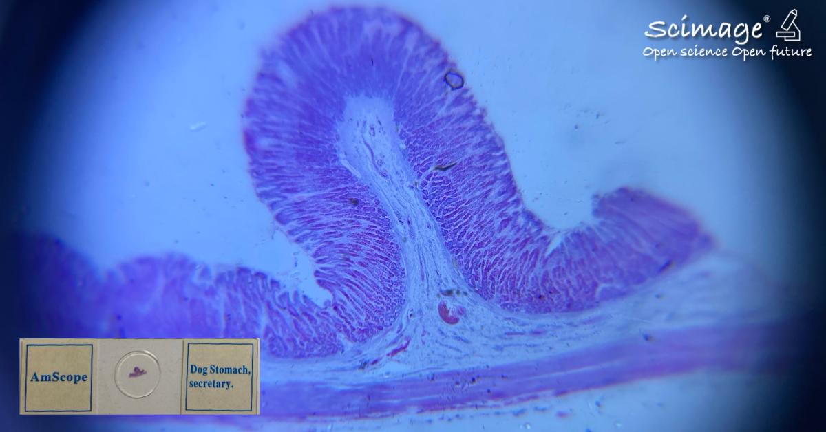
- 25. Dog Stomach, sec. (Dog stomach)
- 26. Mouth Smear PS03-10 (Oral smear?)
- 27. Paramecium W.M. PS02-10 (Paramecium)
- 28. Salt Crystal PS01-4 (Salt crystal)
- 29. Pollen PS01-9 (Pollen)
Slides 1-5

1. Pine Leaf, c.s.

2. Coprimus Mushroom Set, c.s.

2. Coprimus Mushroom Set, c.s.

3. Sunflower Stem, c.s.

4. Young Root of Broad Bean, c.s.

5. Onion Epidermis, w.m.
Slides 6-10

6. Tilia, Stem c.s.

7. Pumpkin Stem, c.s.

7. Pumpkin Stem, c.s.

8. Lillium Ovary, c.s.

9. Lillium Anther, c.s.

10. Zea Stem, c.s.
Slides 11-15

11. Nymphaea, of Aqustio Stem, c.s.

12. Hydrilla Verticillata, Leaf, w.m.

13. Pine Stem, c.s.

14. Dog Esophagus, c.s.

15. Human Blood, smear.
Slides 16-20

16. Dog Skeletal, Muscle, I.s.&c.s.

17. Pig Motor Nerve, w.m.

18. Rabbit Spinal Cord, c.s.

19. Rabbit Testis, sec.

20. Dog Cardiac Muscle, I.s.
Slides 21-25

21. Dense Connective Tissue, sec.

22. Housebee Mouth Parts, w.m.

23. Honeybee Worker Leg-Composite, w.m.

24. Hydra, I.s.

25. Dog Stomach, sec.
Slides 26-29

26. Mouth Smear PS03-10

27. Paramecium W.M. PS02-10

28. Salt Crystal PS01-4

29. Pollen PS01-9
